天津im电竞生物科技集团股份有限公司

全国咨询热线:

400-0177-880

站内搜索
关键字: 站内搜索:
  • 产品名称:地衣芽孢杆菌
  • 产品编号:
  • 上架时间:2020-02-24
  • 浏览次数:

【产品成分】:高活性地衣芽孢杆菌MES816及其代谢产物、营养性载体。

 

【产品特性】:本产品采用高密度液态深层发酵技术和细胞休止、激活技术、低温气流干燥技术制成,菌体纯度高、活力强、抗逆性强,繁殖快。

 

【有效成分保证值】:常规菌粉:芽孢数≥2.0×1010CFU /g1.0×1011CFU /g2.0×1011CFU /g;水溶性菌粉:芽孢数≥1.0×1011CFU /g2.0×1011CFU /g5.0×1011CFU /g

 

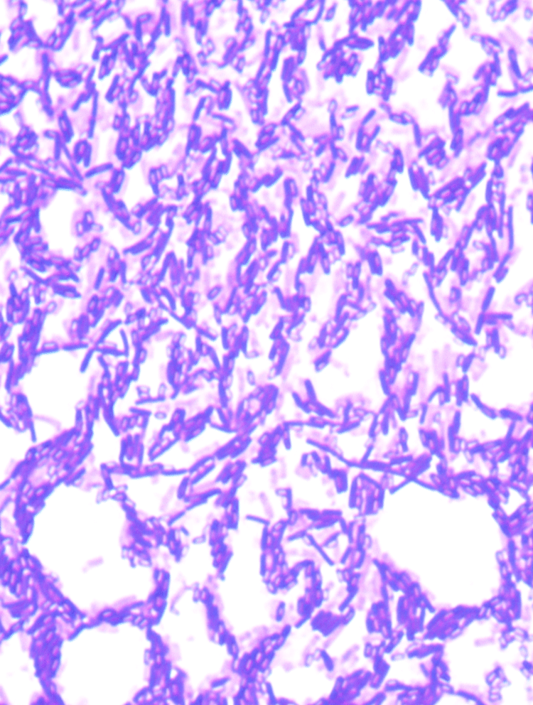
【生物特征】地衣芽孢杆菌MES816革兰氏染色呈阳性,细菌呈直杆状,单个、成对或短链排列。有芽孢,芽孢近椭圆形,中生,芽孢囊不膨大;在营养琼脂培养基上的菌落微黄色,形态不规则,扁平,不透明,在光照下菌落边缘较中央略透明,表面湿润、有光泽,向边缘扩张。

 

【质量指标】

项目

指标

水分

8%

细度

80%以上过60目

芽孢存活率

25,保存1年≥90%

 

【贮存】:密封、阴凉、干燥处保存。

【包装规格】:

【保质期】:常温、干燥、阴凉处保存,有效期为24个月。

【使用方法】:

稀释500倍以上,随水冲施、滴灌、微喷,也可沟施穴施。建议亩用量2-5kg

【注意事项】:

该产品不能与农药、杀菌剂、消毒剂、化学药品等混用。